Objectifs pédagogiques
- Diagnostiquer une opacité ou une masse intrathoracique.
- Connaître les principales hypothèses diagnostiques et les examens complémentaires pertinents.
Avant de commencer…
Chez l’enfant, les circonstances de découverte d’une opacité ou d’une masse intrathoracique varient beaucoup avec l’âge. Les symptômes associés (fièvre, altération de l’état général, dyspnée, signes neurologiques…) orientent souvent le diagnostic.
Parmi les examens d’imagerie, certains ont une place de choix, en raison des particularités pédiatriques (écho-graphie notamment), ou de leur caractère non irradiant (IRM). Les examens biologiques sont demandés en fonction de la symptomatologie et des caractéristiques radiologiques.
Par rapport à l’adulte, la pathologie tumorale maligne est plus rare alors que les causes malformatives doivent être évoquées en priorité, en particulier dans la pathologie médiastinale du petit enfant.
I. Pour bien comprendre
A. Rappels de sémiologie radiologique
Le thymus est assez volumineux chez le nourrisson avec des présentations très variées (fig. 60.1). Il disparaît sur le plan radiologique le plus souvent entre 2 et 3 ans, mais on peut parfois observer chez le grand enfant un résidu thymique dans la fenêtre aortopulmonaire, faisant évoquer une masse médiastinale.
Fig. 60.1.
Différents aspects morphologiques du thymus (cliché de face).
Source : Chateil J-F, Durand C, Diard F. Radiographie normale de face et de profil du thorax chez l’enfant.
EMC - Radiologie 2005;2(6): 587–616 [Article 32-330-A-20]. Copyright © 2005 Elsevier Masson SAS. Tous droits réservés.
B. Démarche diagnostique
La connaissance des manifestations révélatrices d’opacités et masses intrathoraciques est importante, car elle permet de motiver la réalisation rapide d’une radiographie de thorax.
L’aspect de l’opacité intrathoracique sera ensuite précisé le plus souvent par scanner thoracique avec injection.
L’IRM est également informative pour le médiastin, notamment pour préciser les rapports des masses tissulaires ou liquidiennes avec les vaisseaux. Elle a l’avantage d’être un examen non irradiant, mais reste actuellement plus difficile d’accès. Elle ne permet toutefois pas l’analyse du parenchyme pulmonaire.
Une échographie peut être suffisante pour affirmer l’hyperplasie bénigne du thymus devant une masse antérieure.
1. Circonstances de découverte
Manifestations respiratoires
Ces manifestations constituent le motif de découverte le plus fréquent mais sont peu spécifiques :
- toux sèche, parfois productive, voire hémoptoïque, devant inquiéter par sa persistance et sa résistance aux traitements symptomatiques habituels (bronchodilatateurs, corticoïdes) ;
- stridor, dyspnée aux deux temps, détresse respiratoire, imposant la pratique d’explorations radiologiques ;
- wheezing, parfois étiqueté « asthme », sans efficacité des traitements antiasthmatiques ;
- syndrome pleural (douleur thoracique, toux d’irritation), plus rarement.
Manifestations neurologiques
Elles peuvent être la conséquence d’une simple irritation du trajet nerveux ou être occasionnées par une compression nerveuse. Tout trajet nerveux dans l’espace cervicothoracique peut être concerné.
Elles sont très variables dans leur expression et heureusement plus rares :
- paralysie récurrentielle ;
- syndrome de Claude Bernard-Horner (myosis, ptosis, énophtalmie) ;
- compressions médullaires (tumeurs en sablier) ;
- syndrome opsomyoclonique (neuroblastome).
Manifestations digestives
Elles sont exceptionnelles.
En cas de compression œsophagienne :
- régurgitations, pyrosis, vomissements ;
- dysphagie ou hypersialorrhée.
En cas de sécrétion tumorale d’une hormone digestive (peptide vasoactif intestinal) :
- syndrome diarrhéique.
Manifestations circulatoires
Elles sont le fait d’une pathologie maligne le plus souvent.
Compression de la veine cave supérieure avant tout :
- au début : bouffissure du visage, œdème des paupières, empattement de la base du cou ;
- ensuite : œdème en pèlerine touchant la face, le cou, les membres supérieurs ;
- circulation collatérale avec cyanose du visage et céphalées pulsatiles.
Autres manifestations plus exceptionnellement :
- syndrome cave inférieur ;
- compression du tronc artériel pulmonaire, obstruction des veines pulmonaires ;
- chylothorax (érosion du canal thoracique).
Manifestations générales
État général et constantes :
- fièvre isolée ;
- asthénie, anorexie, perte de poids ou stagnation pondérale.
Syndrome paranéoplasique :
- puberté précoce ;
- Cushing, myasthénie, dysthyroïdie ;
- hypertension artérielle.
Manifestations pariétales
Principalement :
- point douloureux costal ;
- névralgie intercostale ;
- tuméfaction palpable.
2. Examens complémentaires pertinents pour orienter le diagnostic étiologique
Le tableau 60.1 n’est pas exhaustif : il ne comporte que les diagnostics les plus fréquents ou à éliminer de principe du fait de leur gravité.
Le diagnostic de certitude ne sera souvent apporté que par l’analyse histologique d’un prélèvement tissulaire (ponction transpariétale ou biopsie chirurgicale).
Tableau 60.1.
Opacités médiastinales : étiologies indispensables à retenir selon la localisation et les caractéristiques radiologiques.
| Loge médiastinale | Diagnostics principaux | Caractéristiques radiologiques évocatrices (si présentes) | Examens complémentaires utiles |
|---|---|---|---|
| Antérieure | Hyperplasie simple du thymus (fig. 60.2) | Masse molle (modifications de position et de contour sur cliché positionnel ou en expiration) | Échographie |
| Tumeurs germinales : tératome (fig. 60.3), kystes dermoïdes, séminome, choriocarcinome | Tératome : calcifications, dérivés mésodermiques (dents, os, graisse) | TDM/IRM α-fœtoprotéine et β-hCG |
|
| Lymphomes (fig. 60.4) | Épanchement pleural associé | TDM/IRM NFS, frottis, LDH, myélogramme |
|
| Moyenne | Adénopathies : infections, dont tuberculose (fig. 60.5), lymphome | Tuberculose : nécrose (possible aussi mais rare dans le lymphome de Hodgkin) | TDM/IRM Tuberculose : IDR ou IGRA Autres infections : sérologies, PCR. Lymphome : NFS, frottis, LDH, myélogramme |
| Postérieure | Tumeurs neurogènes : neuroblastome, ganglioneurome, neurofibrome | Calcifications punctiformes Lésions osseuses associées |
Neuroblastome : IRM médullaire, catécholamines urinaires |
Fig. 60.2.
Thymus chez un nourrisson.
Radiographie du thorax de face. Élargissement physiologique du médiastin chez un jeune nourrisson lié à la persistance du thymus.
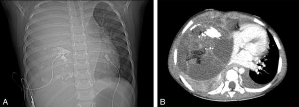
Fig. 60.3.
Tératome.
A. Radiographie de thorax. Volumineuse masse de densité hydrique occupant l’hémithorax droit, contenant des éléments calcifiés, refoulant le médiastin vers la gauche.
B. TDM thoracique, injectée. Volumineuse masse refoulant la masse cardiaque vers la gauche, contenant des éléments hydriques, calcifiés et graisseux affirmant le diagnostic de tératome ; épanchement pleural liquidien gauche, parenchyme pulmonaire droit tassé vers l’arrière.
Fig. 60.4.
Lymphome.
Jeune fille de 13 ans admise pour fièvre vespérale avec asthénie et perte de poids de 4 kg. Radiographie du thorax de face. Volumineuse adénopathie médiastinale à droite. Maladie de Hodgkin.
Fig. 60.5.
Adénopathie médiastinale gauche.
Enfant de 5 ans examiné pour virage de l’IDR dans un contexte de tuberculose familiale.
II. Principales hypothèses diagnostiques
A. Orientation diagnostique devant des opacités pulmonaires
1. Nodules et masses (tableau 60.2)
Chez l’enfant, on a rarement à faire le diagnostic d’un nodule pulmonaire solitaire.
Les nodules parenchymateux multiples évoquent avant tout des métastases dont le point d’origine est souvent évoqué par la présentation clinique.
Les masses pulmonaires peuvent correspondre à des tumeurs bénignes ou malignes, plus rarement à des malformations de type séquestration, malformation adénomatoïde kystique pulmonaire (MAKP).
Tumeurs et malformations pulmonaires peuvent se révéler en climat fébrile. L’opacité radiologique peut alors être interprétée comme une simple pneumopathie infectieuse.
Des éléments sémiologiques doivent faire douter du diagnostic de pneumonie simple :
- opacité expansive, refoulant les organes de voisinage et sans bronchogramme aérien → oriente vers un processus tumoral ou malformatif ;
- images aériques multiples au sein de l’opacité → fait évoquer un processus malformatif.
Tableau 60.2.
Principales causes de nodules et de masses pulmonaires chez l’enfant.
| Aspect radiologique | Étiologie | Éléments d’orientation |
|---|---|---|
| Miliaires pulmonaires diffuses (diamètre < 6 mm) | Tuberculose | Contage Adénopathies médiastinales Test immunologique positif |
| Opacités nodulaires multiples(diamètre ≥ 6 mm) | Tuberculose | Nodules bien limités ou à bords flous Contage Adénopathies médiastinales Test immunologique positif |
| Métastases pulmonaires (ostéosarcome, néphroblastome, sarcome d’Ewing, rhabdomyosarcome, tumeurs germinales) | Nodules bien limités Orientation selon la tumeur d’origine (voir chapitre 27) |
|
| Lymphome thoracique | Nodules bien limités ou à bords flous Frottis sanguin, myélogramme, cytoponction d’adénopathie périphérique |
|
| Nodule ou masse thoracique unique (diamètre > 3 cm) | Tuberculose | Contage Adénopathies médiastinales Test immunologique positif |
| Malformation pulmonaire (MAKP, séquestration) | Rare et très spécialisé Identification prénatale fréquente Surinfection possible (diagnostic différentiel d’une opacité thoracique fébrile) |
|
| Tumeur intrathoracique bénigne ou maligne | Rare et très spécialisé Orientation selon la tumeur Révélation possible en climat fébrile (diagnostic différentiel d’une opacité thoracique fébrile) |
2. Images cavitaires
Elles sont plus faciles à relier à une étiologie, notamment les abcès du poumon (fièvre, toux, altération de l’état général, images de contours flous à cavité nette avec souvent un niveau hydroaérique).
Les cavernes tuberculeuses siègent avec prédilection au sommet (contamination familiale, IDR ou IGRA positif, asthénie). Le kyste hydatique est surtout fréquent chez les enfants originaires du Maghreb et y séjournant ; il peut être très volumineux.
Les images en grelot sont évocatrices d’un aspergillome (cavité plus ou moins volumineuse au sein de laquelle on observe une masse dense à la partie déclive surmontée d’un croissant clair).
3. Opacités alvéolaires
Le syndrome alvéolaire radiologique témoigne du comblement des lumières alvéolaires par du matériel liquidien ou cellulaire. La présence d’un bronchogramme aérien affirme la nature alvéolaire d’une opacité, mais est inconstante. Elles peuvent être uniques ou multiples (tableau 60.3).
Chez l’enfant, les opacités alvéolaires sont essentiellement d’origine infectieuse (voir chapitre 59).
Tableau 60.3.
Principales causes d’opacités alvéolaires chez l’enfant.
| Aspect radiologique | Étiologie | Éléments d’orientation |
|---|---|---|
| Unique et systématisée | Pneumopathie infectieuse (virale ou bactérienne) | Fréquence chez l’enfant Début aigu Fièvre, syndrome inflammatoire biologique |
| Embolie pulmonaire | Rare chez l’enfant Terrain à risque Tachycardie, dyspnée Hémoptysie, douleur thoracique |
|
| Unique, systématisée et rétractile | Pneumopathie infectieuse (virale ou bactérienne) | Début aigu Fièvre, syndrome inflammatoire biologique |
| Obstruction bronchique par corps étranger | Syndrome d’inhalation Pneumonies récidivantes dans le même territoire |
|
| Obstruction bronchique par tuberculose |
Contage Adénopathies médiastinales Test immunologique positif |
|
| Dilatations des bronches | Pneumonies récidivantes dans le même territoire Terrain à risque (déficit immunitaire humoral, mucoviscidose…) |
|
| Disséminées | Pneumopathie infectieuse (virale ou M. pneumoniae) |
Début aigu Fièvre, syndrome inflammatoire biologique |
| Œdème pulmonaire | Terrain sous-jacent : cardiopathie, syndrome néphrotique | |
| Hémorragies pulmonaires | Rare et très spécialisé chez l’enfant À évoquer si déglobulisation associée |
4. Calcifications
Les calcifications (de nodules) sont fréquentes dans la tuberculose mais aussi possibles dans les tératomes et les neuroblastomes.
B. Orientation diagnostique devant une opacité médiastinale
Une masse médiastinale est caractérisée sur le cliché standard par une opacité hydrique le plus souvent homogène, convexe vers le poumon, à limite externe nette, et à limite interne noyée dans le médiastin.
L’étiologie des opacités médiastinales est d’abord évoquée par la localisation antéropostérieure dans le médiastin (voir tableau 60.1).
En plus de la localisation antéropostérieure, certains éléments sémiologiques peuvent fortement orienter le diagnostic étiologique (tableau 60.4).
Piège classique chez l’enfant : le thymus qui est bien visible chez le nourrisson (voir fig. 60.2).
Tableau 60.4.
Éléments sémiologiques d’orientation et principales étiologies des opacités médiastinales chez l’enfant.
| Éléments sémiologiques d’orientation | Principales étiologies des opacités |
|---|---|
| Masses molles (modifications de position et de contour sur cliché positionnel ou en expiration) | Hyperplasie bénigne du thymus Lymphangiome kystique |
| Calcifications | Tumeur neurogène (punctiformes) Tératome (irrégulières) Adénopathies tuberculeuses |
| Présence de dérivés mésodermiques (dents, os, graisse) | Tératome |
| Aspect kystique | Malformation bronchopulmonaire kystique Lymphangiome kystique (si cloisonnement) |
| Nécrose | Tuberculose Hodgkin (adolescent) Neuroblastome |
| Association à un épanchement pleural | Lymphome (hodgkinien ou non hodgkinien) Leucémie aiguë lymphoblastique Tuberculose |
| Association à des lésions osseuses | Tumeur neurogène Tumeur osseuse |
Opacités pulmonaires
- Le cliché thoracique ± l’échographie sont proposés en première intention.
- Une miliaire doit faire penser en premier lieu à une tuberculose.
- Une opacité cavitaire doit conduire à rechercher trois causes principales : la tuberculose, l’aspergillome, le kyste hydatique.
- Les opacités alvéolaires sont le plus souvent d’origine infectieuse.
- Une hyperclarté sur le cliché en expiration signe un piégeage de l’air lié à un obstacle bronchique.
Masse médiastinale
- Le diagnostic est fondé sur la localisation dans une des loges.
- La TDM thoracique est l’examen clé pour le médiastin antérieur et moyen, alors que c’est l’IRM pour le médiastin postérieur.
- dosage de l’-fœtoprotéine et des hCG est systématique devant une tumeur du médiastin antérieur.
- La tuberculose est à évoquer en premier lieu devant des adénopathies du médiastin moyen comprimant les axes bronchiques principaux ou la trachée, a fortiori si elles sont nécrosées.
- Un élargissement du médiastin antérieur et supérieur chez un adolescent doit faire évoquer en premier lieu un lymphome malin non hodgkinien ou une maladie de Hodgkin.
